Votre Laboratoire partenaire d'un sourire d'exception
Laboratoire d'excellence
Technologies Avancées
Nos Aligneurs Dentaires
Le Laboratoire conçoit et propose le diagnostique, la planification, la réalisation ainsi que la fabricationde traitements orthodontiques par aligneurs dentaires 100% Français.
Nous proposons une solution complète, invisible et performante à l'alignement dentaire.
Nous utilisons les nouvelles technologies, pour planifier soigneusement chaque mouvement,
afin de vous proposer un traitement aussi sûr, qu'efficace et 100% conçu et fabriqué en France, totalement sur mesure.
Choisir nos aligneurs dentaires c'est allier précision, excellence et qualité de nos produits et services.
Pourquoi nous inspirons confiance
Proximité/Made in France
Nous offrons un accompagnement personnalisé et des services premium
pour le suivi de tous vos cas.
Prothésistes Spécialistes
Notre métier : obtenir le meilleur traitement et résultat pour vos patients. Acteurs de notre recherche et développement.
Laboratoire de Qualité


-
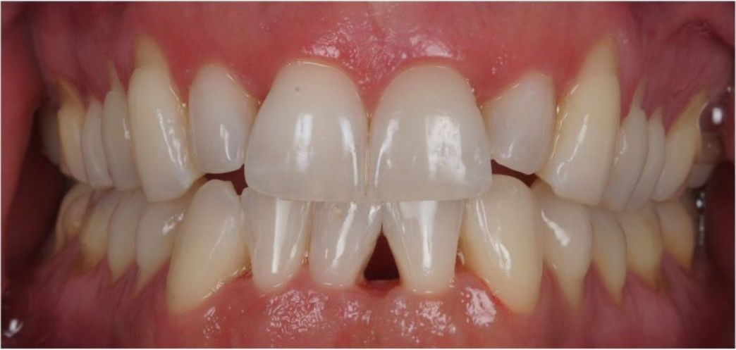
Nos aligneurs dentaires A2 LAB® sont des appareils orthodontiques amovibles destinés à corriger les défauts plus ou moins importants de votre dentition. Demandez conseils à votre praticien pour collaborer avec notre Laboratoire, spécialiste de la création de votre sourire sur mesure made in France 💙🦷❤️ #dentalLab #aligners #sourire #orthodontie #digitaldentistry #frenchAligners #digitalworkplace #orthodontieinvisible #fabricationFrançaise #alignerlife #FabriquéIciPasAilleurs #JeChoisisLeSourireMadeInFranceButton
-
Prenez toujours soin de votre sourire, en vacances et à la rentrée grâce à votre pack patient 💙🦷❤️ 😁 #JeChoisisLeSourireMadeInFrance #patientexperience #SavoirFaire #dentalLab #aligners #FabriquéIciPasAilleurs #sourire #orthodontie #SourireMadeInFrance #dentalLab #aligners #sourire #orthodontie #dentistryworld #smilemakeover #frenchAligners #straightTeeth #smile #orthodontics #digitaldentistry #nothingelsebutperformance #patientfeedback #orthodontieinvisible #alignerlife #FabricationFrançaise #MadeinFranceButton
-
« Un sourire n’est pas anodin. S’il est dessiné sur un visage, c’est qu’il a toute une histoire. » @alex_bocat 💎Au sein du laboratoire, chaque sourire est travaillé avec exigence et minutie. 🧐 Pensé pour être synchroniser avec un visage, une personnalité, une histoire. 💡🔧Oui, nous recréons des sourires, rendant le reflet du miroir plus doux, les mots plus confiants les rires plus francs. Grâce à nos mains patientes, à notre œil d’artiste, nous offrons aux patients bien plus qu’une fonction retrouvée : nous leur offrons une part d’eux-même. 💙🦷❤️ #fabricationFrançaise #dentalLab #aligners #sourire #orthodontie #dentistryworld #straightTeeth #smile #orthodontics #digitaldentistry #frenchAligners #digitalworkplace #orthodontieinvisible #alignerlife #JeChoisisLeSourireMadeInFranceButton
-
💙🦷❤️Sponsor de la 12ème édition des Rencontres Confraternelles Varoises : Les clés d’une relation orthodontiste/omnipraticien plus sereine. Mise à l’honneur du Sourire #MadeInFrance #aligner #RCV #nothingelsebutperformance #dentalLab #aligners #sourire #orthodontieinvisible #dentistryworld #straightTeeth #smile #orthodontics #digitaldentistry #frenchAligners #digitalworkplace #orthodontieinvisible #fabricationFrançaise #clearaligners #alignerlife #FabriquéIciPasAilleurs #JeChoisisLeSourireMadeInFranceButton
-
Spécialistes des gouttières dentaires, nous proposons plusieurs types d’orthèses comme les gouttières anti-ronflements sur mesure 🌙 Les gouttières d’avancée mandibulaire sont spécialement conçues pour maintenir les voies respiratoires dégagées pendant le sommeil 😴, en avançant légèrement la mâchoire inférieure. 🔍 Vous êtes chirurgien-dentiste et souhaitez proposer ce dispositif à vos patients ? 🔍 Vous êtes patient et vous seriez éligible à ce dispositif ? ☎️ Contactez-nous pour en savoir plus sur nos prestations ou demandez directement à votre praticien de joindre notre Laboratoire. #SavoirFaire #dentalLab #aligners #gouttieredentaire #FabriquéIciPasAilleurs #sourire #SourireMadeInFrance #PassionEtInnovation #frenchAligners #orthese #ProthésisteDentaire #fabricationFrançaise #MadeInFrance #JeChoisisLeSourireMadeInFranceButton
-
Votre sourire 😁est votre Super Pouvoir ! 🦸🏻♀️🦸🏼♂️ #SavoirFaire #dentalLab #aligners #FabriquéIciPasAilleurs #sourire #orthodontie #SourireMadeInFrance #PassionEtInnovation #frenchAligners #ProthésisteDentaire #superpouvoir #orthodontieinvisible #fabricationFrançaise #MadeInFrance #JeChoisisLeSourireMadeInFranceButton
-
🎊🥼🇫🇷 Aujourd’hui, nous fêtons la création du laboratoire, il y a 5 ans ! 🙋🏻♀️ Célébrons l’innovation, la détermination et surtout la passion de celle qui a créé cette entreprise : Claire, Prothésiste Dentaire, engagée plus que jamais dans ce métier. 🦷 🎨 “C’est un métier d’artiste de l’ombre, essentiel et trop peu reconnu. Alors oui, il y a des jours où le l’on se demande s’il ne faudrait pas mieux être à une place différente. Car entreprendre et encore plus dans le monde du dentaire actuel, la charge mentale est omniprésente. Mais une seule réponse résonne ! Parce que quelque chose de bien plus grand, nous anime ! Parce qu’avancer, innover, fabriquer et donner du sens à ce que je fais, est primordial 🫶🏻 Faire des choix alignés 😁 avec soi-même, y croire, toujours !” ➡️ Créons, ensemble le sourire de demain. A2 LAB® #SavoirFaire #dentalLab #aligners #sourire #orthodontie #PassionEtInnovation #frenchAligners #ProthésisteDentaire #orthodontieinvisible #fabricationFrançaise #MadeInFrance #JeChoisisLeSourireMadeInFranceButton
-
Un Joyeux Noël rempli de #SourireMadeInFrance 💙🦷❤️ avec vos spécialistes prothésistes A2 LAB ®🎄🎁 #dentalLab #aligners #sourire #FabriquéIciPasAilleurs #orthodontie #dentistryworld #straightTeeth #smile #orthodontics #digitaldentistry #frenchAligners #digitalworkplace #orthodontieinvisible #fabricationFrançaise #alignerlife #JeChoisisLeSourireMadeInFranceButton
-
😁 Seul votre sourire, nous inspire ! Sélectionnez prothésistes dentaires spécialisés et orthodontistes pour réaliser vos traitements par aligneurs dentaires made in France 🇫🇷 #dentalLab #aligners #sourire #orthodontie #dentistryworld #straightTeeth #smile #orthodontics #prothesistedentairefrance #digitaldentistry #frenchAligners #digitalworkplace #aligneur #orthodontieinvisible #fabricationFrançaise #alignerlife #FabriquéIciPasAilleurs #JeChoisisLeSourireMadeInFranceButton
-
Souriez en toute transparence ✨ #aligners #sourire #qualitésupérieure #JeChoisisLeSourireMadeInFrance #orthodontie #dentalLab #frenchAligners #patientexperience #orthodontieinvisivible #alignerlife #clearaligners #madeinfrance #FabriquéIciPasAilleursButton